Стаж более
17 лет
Центр имплантации и протезированияРаботаем с 2013 годаКлиника №1
в Екатеринбурге
в Екатеринбурге
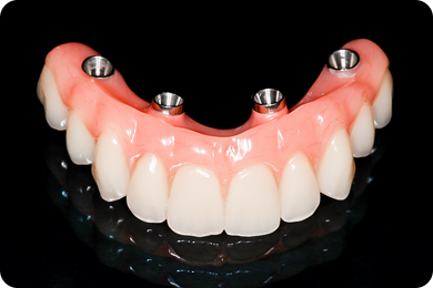
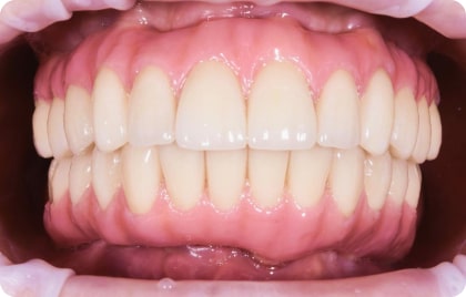
Зубы All-on-4 за 2 000р. в месяц
50 000р. вся цена
50 000р. вся цена
Опытными специалистами
Стаж от 17 лет
Стаж от 17 лет
По уникальной методике
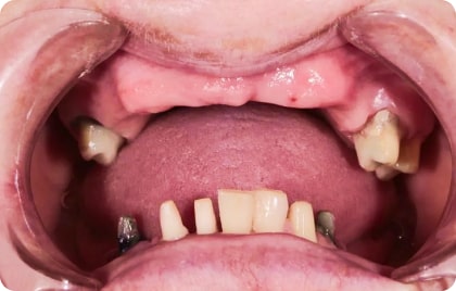
БЕЗ отёков и надрезов
БЕЗ отёков и надрезов
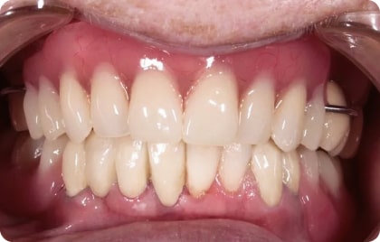
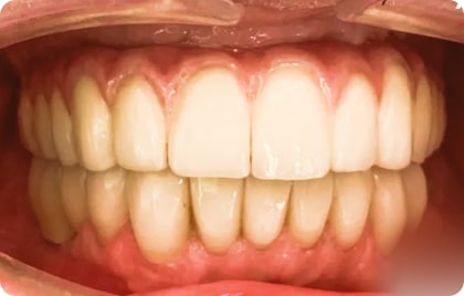
Установка
за 1 день
за 1 день























